全 体 の 修 復 1


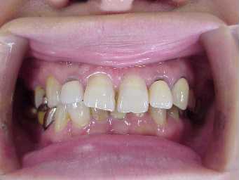
術     前
術    後

メタルボンド+オールセラミック+ラミネート