B.咬合誘導と小矯正の治療に使用される装置
 
(当医院の使用している主な装置の一部)
 
 

斜面板
3Dリンガルアーチ
3Dリンガルアーチ
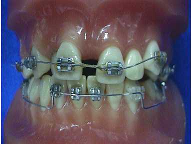
ブラケットとワイヤー
3Dクワドヘリックス
チンキャップ