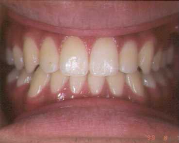
3.切端咬合の治療例
 
治療まえ
   
       
  
治療開始
  
       
 
保定ちゅう
  
       
 
治療終了
  
       
  
 
      4.叢生の治療例